论文证实法国去年底已有新冠肺炎病例
来源:今日头条 作者:央视新闻 时间:2020-05-07 点击:
医学期刊《国际抗菌剂杂志》网站5月3日刊登法国巴黎东北郊塞纳-圣但尼医院集团主持撰写的短篇通讯论文,证实新冠病毒2019年12月底已在法国传播。法国商业调频电视台(BFMTV)、英国广播公司(BBC)、美国有线电视新闻网(CNN)、路透社(Reuters)等各大外媒纷纷转载报道,引发舆论关注。
大批外媒转载:
新冠病毒去年12月底已在法国传播
当地时间5月3日晚法国商业调频电视台的直播节目报道,法国在2019年12月27日发现首例新冠肺炎病例。
△法国BFMTV的相关报道
CNN报道称这也证明,新型冠状病毒在法国出现的时间可能比人们先前认为的要早几周。
△CNN报道称,冠状病毒在法国出现的时间可能比人们先前认为的要早几周。
BBC报道,标题为《新冠病毒:法国去年12月底发现首个病例》。
路透社报道,题为《经过样本检测后 法国医院研究人员发现法国新冠肺炎首例病例出现在12月》。
△路透社相关报道
患者男性
最近一次旅行是
2019年8月前往阿尔及利亚
论文中显示,研究人员选取了14个在2019年12月2日到2020年1月16日期间因类流感疾病(ILI)入住重症监护室的病例,并将其鼻(咽)拭子从零下80摄氏度的冷藏环境中取出,于今年4月6日到4月9日重新进行新冠病毒核酸检测。值得注意的是,这些病例在入院时接受FilmArray快速呼吸道病原体检测结果呈阴性。
研究人员此次发现一名42岁男子的样本新冠病毒检测呈阳性。该男子职业为鱼贩,出生在阿尔及利亚,已长居法国多年,最近一次旅行是在2019年8月前往阿尔及利亚。
△CNN相关报道“该男子长期居住法国,最近一次旅行是2019年8月前往阿尔及利亚”
据BBC报道,为了确保没有错误,医生测试了两次,两次都是阳性。
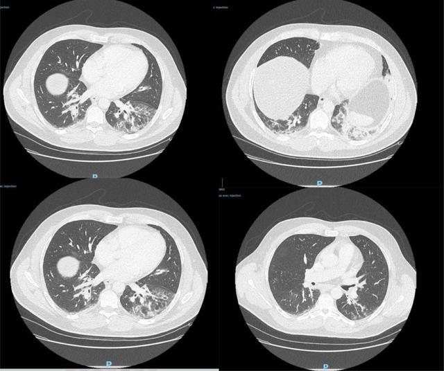
据了解,患者去年12月27日到急诊室就医,CT检查显示双侧肺下叶呈现磨玻璃影,并伴有咯血、咳嗽、头痛及发热症状,且当时症状已持续4天。病患当天被收入重症监护室并接受抗生素治疗,后因病情好转于12月29日解除重症监护。
新冠病毒已于去年12月底在法国蔓延
比官方报告早了一个月
据此证明,新冠病毒已于2019年12月底在法国传播,比该国官方所称于1月24日首次发现病例,提早了一个月。
论文作者之一、巴黎大区让-维尔迪耶医院重症监护室负责人称,病毒核酸检测不是一种新的手段,不仅仅是用来检测新冠病毒,也用来检测流感和其它冠状病毒。所以我们对此前被诊断为肺炎,但检测结果呈阴性的病例样本重新检验,在24名病患中,发现有一人的新冠病毒检测呈阳性,是在去年12月27日被我们医院接收的。
同时报告显示,确定第一个感染者是一个非常有流行病学意义的问题,因为它极大地改变了对新型冠状病毒及其在法国传播的认识。因为这表明新冠肺炎在2019年12月底已经在法国人口中蔓延。
国外网友:
关注科学研究对疫情认识的改变
消息一出,引发网友热议,有网友称,新冠病毒在12月就已经开始在欧洲传播了!
有的网友说,新的研究支撑了“新冠病毒可能起源于任何一个国家”的观点,可能在11月就已经悄悄地在全球蔓延。
也有网友表示,如果这份12月2日在巴黎的病例被证实了,这无疑击碎了新冠病毒是由中国实验室泄漏的说法。因为病毒是绝不可能在11月底从武汉一下子蹦到巴黎的。
大批外媒转载:
新冠病毒去年12月底已在法国传播
当地时间5月3日晚法国商业调频电视台的直播节目报道,法国在2019年12月27日发现首例新冠肺炎病例。

CNN报道称这也证明,新型冠状病毒在法国出现的时间可能比人们先前认为的要早几周。
△CNN报道称,冠状病毒在法国出现的时间可能比人们先前认为的要早几周。
BBC报道,标题为《新冠病毒:法国去年12月底发现首个病例》。
路透社报道,题为《经过样本检测后 法国医院研究人员发现法国新冠肺炎首例病例出现在12月》。

患者男性
最近一次旅行是
2019年8月前往阿尔及利亚
论文中显示,研究人员选取了14个在2019年12月2日到2020年1月16日期间因类流感疾病(ILI)入住重症监护室的病例,并将其鼻(咽)拭子从零下80摄氏度的冷藏环境中取出,于今年4月6日到4月9日重新进行新冠病毒核酸检测。值得注意的是,这些病例在入院时接受FilmArray快速呼吸道病原体检测结果呈阴性。
研究人员此次发现一名42岁男子的样本新冠病毒检测呈阳性。该男子职业为鱼贩,出生在阿尔及利亚,已长居法国多年,最近一次旅行是在2019年8月前往阿尔及利亚。
△CNN相关报道“该男子长期居住法国,最近一次旅行是2019年8月前往阿尔及利亚”
据BBC报道,为了确保没有错误,医生测试了两次,两次都是阳性。
据了解,患者去年12月27日到急诊室就医,CT检查显示双侧肺下叶呈现磨玻璃影,并伴有咯血、咳嗽、头痛及发热症状,且当时症状已持续4天。病患当天被收入重症监护室并接受抗生素治疗,后因病情好转于12月29日解除重症监护。

新冠病毒已于去年12月底在法国蔓延
比官方报告早了一个月
据此证明,新冠病毒已于2019年12月底在法国传播,比该国官方所称于1月24日首次发现病例,提早了一个月。
论文作者之一、巴黎大区让-维尔迪耶医院重症监护室负责人称,病毒核酸检测不是一种新的手段,不仅仅是用来检测新冠病毒,也用来检测流感和其它冠状病毒。所以我们对此前被诊断为肺炎,但检测结果呈阴性的病例样本重新检验,在24名病患中,发现有一人的新冠病毒检测呈阳性,是在去年12月27日被我们医院接收的。
同时报告显示,确定第一个感染者是一个非常有流行病学意义的问题,因为它极大地改变了对新型冠状病毒及其在法国传播的认识。因为这表明新冠肺炎在2019年12月底已经在法国人口中蔓延。

国外网友:
关注科学研究对疫情认识的改变
消息一出,引发网友热议,有网友称,新冠病毒在12月就已经开始在欧洲传播了!
有的网友说,新的研究支撑了“新冠病毒可能起源于任何一个国家”的观点,可能在11月就已经悄悄地在全球蔓延。
也有网友表示,如果这份12月2日在巴黎的病例被证实了,这无疑击碎了新冠病毒是由中国实验室泄漏的说法。因为病毒是绝不可能在11月底从武汉一下子蹦到巴黎的。



